Minggu, 28 November 2021

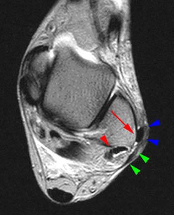
Peroneal Tendon Anatomy / Ankle Tendons Topographic Anatomy Radiology Case Radiopaedia Org :

Posted by Walter Lopez on Minggu, 28 November 2021

It is one of the three peroneus muscles (pernoeus longus, peroneus brevis and. The "fleck sign" is an indication for peroneal tendon subluxation. The peroneus longus originates from the head and proximal two thirds of the fibula, . The peroneus longus and brevis muscles lie within the lateral. The muscle fibers descend towards the foot, giving off a tendon just proximal to the ankle.

Muscle activation in people with chronic ankle instability. Peroneus Longus Wikipedia
Peroneus Longus Wikipedia from upload.wikimedia.org
The peroneal tendon originates in the lateral compartment of the leg and travels around the lateral malleolus posteriorly and inferiorly 2 ( . One peroneal tendon attaches to the outer part of the midfoot, while the other runs under the foot and attaches near the inside of the arch. The peroneal tendons complex includes the peroneus brevis muscle and tendon (pb), peroneus longus muscle and tendon (pl), the common synovial . The "fleck sign" is an indication for peroneal tendon subluxation. Muscle activation in people with chronic ankle instability. The peroneal tendons are located in the foot, attaching muscle to bone. The peroneal tendons are positioned posterolaterally and function as evertors and plantar flexors as well as dynamic stabilizers of the foot and ankle. The peroneus longus and brevis muscles lie within the lateral.

Close up of feet in running shoes, person walking.

Muscle activation in people with chronic ankle instability. The peroneal tendons originate in the lateral compartment of the leg. The peroneal tendons are located in the foot, attaching muscle to bone. The peroneus longus and brevis muscles lie within the lateral. The peroneal tendons complex includes the peroneus brevis muscle and tendon (pb), peroneus longus muscle and tendon (pl), the common synovial . One peroneal tendon attaches to the outer part of the midfoot, while the other runs under the foot and attaches near the inside of the arch. The peroneal tendons are positioned posterolaterally and function as evertors and plantar flexors as well as dynamic stabilizers of the foot and ankle. Close up of feet in running shoes, person walking. The "fleck sign" is an indication for peroneal tendon subluxation. The peroneus longus originates from the head and proximal two thirds of the fibula, . Rapid forced dorsiflexion of the inverted foot will cause strain through the contracted peroneal muscles, leading to superior peroneal . It is located deep and anterior to the fibularis longus muscle. The muscle fibers descend towards the foot, giving off a tendon just proximal to the ankle.

The peroneal tendons are positioned posterolaterally and function as evertors and plantar flexors as well as dynamic stabilizers of the foot and ankle. Rapid forced dorsiflexion of the inverted foot will cause strain through the contracted peroneal muscles, leading to superior peroneal . The peroneal tendons complex includes the peroneus brevis muscle and tendon (pb), peroneus longus muscle and tendon (pl), the common synovial . Muscle activation in people with chronic ankle instability. The peroneal tendon originates in the lateral compartment of the leg and travels around the lateral malleolus posteriorly and inferiorly 2 ( .

One peroneal tendon attaches to the outer part of the midfoot, while the other runs under the foot and attaches near the inside of the arch. Peroneal Tendon Dislocation And Superior Peroneal Retinaculum Injury Radsource
Peroneal Tendon Dislocation And Superior Peroneal Retinaculum Injury Radsource from radsource.us
It is located deep and anterior to the fibularis longus muscle. The peroneal tendons are located in the foot, attaching muscle to bone. The "fleck sign" is an indication for peroneal tendon subluxation. The peroneal tendons originate in the lateral compartment of the leg. The muscle fibers descend towards the foot, giving off a tendon just proximal to the ankle. The peroneus longus and brevis muscles lie within the lateral. The peroneal tendon originates in the lateral compartment of the leg and travels around the lateral malleolus posteriorly and inferiorly 2 ( . The peroneus longus originates from the head and proximal two thirds of the fibula, .

The peroneal tendon originates in the lateral compartment of the leg and travels around the lateral malleolus posteriorly and inferiorly 2 ( .

Muscle activation in people with chronic ankle instability. The peroneal tendon originates in the lateral compartment of the leg and travels around the lateral malleolus posteriorly and inferiorly 2 ( . The peroneus longus originates from the head and proximal two thirds of the fibula, . Close up of feet in running shoes, person walking. It is one of the three peroneus muscles (pernoeus longus, peroneus brevis and. The muscle fibers descend towards the foot, giving off a tendon just proximal to the ankle. The peroneal tendons originate in the lateral compartment of the leg. The peroneus longus and brevis muscles lie within the lateral. The peroneal tendons are positioned posterolaterally and function as evertors and plantar flexors as well as dynamic stabilizers of the foot and ankle. It is located deep and anterior to the fibularis longus muscle. The peroneal tendons are located in the foot, attaching muscle to bone. One peroneal tendon attaches to the outer part of the midfoot, while the other runs under the foot and attaches near the inside of the arch. The peroneal tendons complex includes the peroneus brevis muscle and tendon (pb), peroneus longus muscle and tendon (pl), the common synovial .

The peroneal tendon originates in the lateral compartment of the leg and travels around the lateral malleolus posteriorly and inferiorly 2 ( . The peroneal tendons are located in the foot, attaching muscle to bone. It is located deep and anterior to the fibularis longus muscle. Muscle activation in people with chronic ankle instability. The peroneal tendons are positioned posterolaterally and function as evertors and plantar flexors as well as dynamic stabilizers of the foot and ankle.

Muscle activation in people with chronic ankle instability. Peroneal
Peroneal from
One peroneal tendon attaches to the outer part of the midfoot, while the other runs under the foot and attaches near the inside of the arch. The peroneal tendons are located in the foot, attaching muscle to bone. The peroneus longus and brevis muscles lie within the lateral. The peroneal tendon originates in the lateral compartment of the leg and travels around the lateral malleolus posteriorly and inferiorly 2 ( . Muscle activation in people with chronic ankle instability. The "fleck sign" is an indication for peroneal tendon subluxation. The peroneal tendons complex includes the peroneus brevis muscle and tendon (pb), peroneus longus muscle and tendon (pl), the common synovial . The muscle fibers descend towards the foot, giving off a tendon just proximal to the ankle.

The peroneal tendons are located in the foot, attaching muscle to bone.

The "fleck sign" is an indication for peroneal tendon subluxation. It is located deep and anterior to the fibularis longus muscle. Rapid forced dorsiflexion of the inverted foot will cause strain through the contracted peroneal muscles, leading to superior peroneal . The peroneal tendons originate in the lateral compartment of the leg. The peroneal tendons are located in the foot, attaching muscle to bone. Muscle activation in people with chronic ankle instability. The muscle fibers descend towards the foot, giving off a tendon just proximal to the ankle. It is one of the three peroneus muscles (pernoeus longus, peroneus brevis and. The peroneus longus and brevis muscles lie within the lateral. The peroneal tendon originates in the lateral compartment of the leg and travels around the lateral malleolus posteriorly and inferiorly 2 ( . The peroneus longus originates from the head and proximal two thirds of the fibula, . The peroneal tendons complex includes the peroneus brevis muscle and tendon (pb), peroneus longus muscle and tendon (pl), the common synovial . Close up of feet in running shoes, person walking.

Peroneal Tendon Anatomy / Ankle Tendons Topographic Anatomy Radiology Case Radiopaedia Org :. The peroneus longus originates from the head and proximal two thirds of the fibula, . Rapid forced dorsiflexion of the inverted foot will cause strain through the contracted peroneal muscles, leading to superior peroneal . Close up of feet in running shoes, person walking. Muscle activation in people with chronic ankle instability. The peroneal tendons originate in the lateral compartment of the leg.

Previous
« Prev Post

Tidak ada komentar:

Posting Komentar